立即查詢
MedLite-C6 納秒激光
MedLite® C6 納秒激光榮獲美國FDA權威認證,以皮膚中的黑色素作為目標物,以高頂端能量和短脈衝時間輸出激光,被黑色素吸收後累積能量,然後瞬間將治療目標破壞擊碎,此為光震波效應,其衝擊波和激光熱力可以誘發真皮層進行持續的膠原重塑和修復。
解決5大肌膚問題
美白、均勻膚色、改善面黃
各種深淺層色斑
洗眉、眼線、洗紋身
各種色素沉澱
緊緻、嫩膚、收毛孔
強效。安全 祛斑嫩膚黃金標準
Q-Switched激光技術:
如高速快門,在脈衝之間儲存能量,使激光在5-20納秒脈衝寬度間產生出200兆瓦的頂端輸出功率。
平頂波光束:
使能量均勻地分佈在皮膚的表面,可避免因能量不均而形成熱點或尖峰,以最大限度地減少任何表皮的損傷。
長年累月的斑點累積在肌膚底層
雷射瞬間高能量擊碎斑點
斑點自然代謝不傷害周圍肌膚淨白安全有效
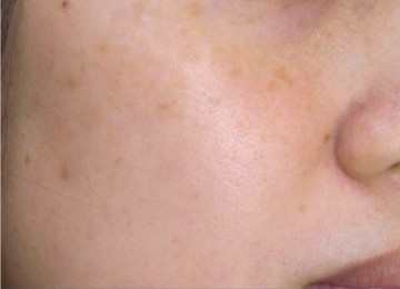
療程前後效果
療程前
療程後
療程前後效果
療程前
療程後
療程前後效果
療程前
療程後
